
Az elkerülő személyiségzavar (AVPD) a társas gátlások magas szintjében és a mások által elégtelennek ítéltektől való félelemben nyilvánul meg. Becslések szerint a felnőttek körülbelül 2,5%-a szenved ebben a zavarban, és úgy tűnik, hogy a nemek nem jelentenek előrejelző tényezőt.

Egy, az orthorexia nervosával kapcsolatos kutatása megmutatja, mi áll az egészséges élelmiszerek megszállottsága mögött.

Cikkünkben megmutatjuk, mik a legnagyobb különbségek a fizikai és a kémiai fényvédők között, és hogyan találjuk meg a számunkra megfelelőt.

Az 1-es típusú cukorbetegségben szenvedő gyermekek és legközelebbi családtagjaik egyaránt fokozottan ki vannak téve a mentális egészségügyi problémák kockázatának a betegségben nem szenvedőkhöz képest.

A személyiségzavarokkal kapcsolatban rengeteg tévhit kering a világban, többek között a média és a popkultúra befolyásoló ereje miatt. A hibás információk elterjedése hozzájárul az előítéletekhez, valamint a rossz, illetve hiányos kezelésekhez. Alábbi cikkünkben három téves ismeretet írtunk össze.

Gondolkodtál már azon, hogy miért jobb érzés a csókolózás, mint a kézen fogás? A nyelv hihetetlenül jó eszköz, bár a szájban elfoglalt helye miatt köztudottan nehéz tanulmányozni.

Társszerzőnk, László Nicole nem csak a Forma-1 autóversenyén cikázó autók közé kalauzol el bennünket. Legújabb irományán keresztül ugyanis a csilli-villi VIP afterpartyba is bepillantást nyerhetünk.

Az élet értelmének keresése minden emberben ott rejlik, csupán egyesek több figyelmet szentelnek rá, mint mások. Egyes kutatások kimutatták, hogy az értelem nélküli élet gyengítheti az egyén pszichológiai jóllétét. Alábbi cikkünkben három tippet írtunk össze, melyekkel könnyebb megtalálni a célunk.

Az 1500 évre visszamenőleg az emberek fogaiban megőrződött DNS feltárta a hidegrázást okozó, mindenütt elterjedt herpeszvírus-törzs ősi eredetét.

Ahhoz, hogy egy kapcsolat valóban virágozzon, mély, lelki szintű érzelmi kapcsolatra van szükség a két érintett fél között. De gyakran védőfalakat építünk a szívünk köré, hogy megóvjuk magunkat a bántásoktól vagy az egónkat fenyegető veszélyektől.Íme annak a jelei, hogy érzelmi falakat építettünk…

A depresszió és a szorongás kezelésével egyre több tanulmány foglalkozik, viszont nagyon kevés kutatás született még a megelőzésükkel kapcsolatban. Hogyan lehet megakadályozni ezeknek a kialakulását? Alábbi cikkünkben öt hasznos tippet gyűjtöttünk össze.

Íme, hogyan változtatják meg a bélrendszerünkben lévő bélbaktériumok a gondolatainkat és a hangulatunkat.

Július 29-én, illetve 30-án is elhalad majd egy-egy óriási aszteroida a bolygónk mellett, melyek közül az egyik egy 40 emeletes felhőkarcoló méreteivel vetekszik.
augusztus 24., 2023 ● Prokaj Tamás
Hétvégén két felhőkarcoló-méretű aszteroida száguld el a…
Prokaj Tamás

A sportolás és a kiegyensúlyozott táplálkozás mellett még rengeteg mindennapi teendő van, melyekkel javítani lehet az egészségügyi állapotot. Ezúttal viszont egy olyan általános cselekvés hátulütőjére bukkantak, ami mindenkit meglephet.
augusztus 24., 2023 ● Prokaj Tamás
Ez a szokás 12 százalékkal növeli a magas vérnyomás…
Prokaj Tamás

A fogamzásgátló tablettát már közel 60 éve alkalmazzák, de még mindig mellékhatások elkeserítő tömkelege léphet fel a szedésekor. Íme, melyek azok a nem kívánt tünetek, amelyeknél érdemes elgondolkodnunk a gyógyszer lecserélésén.
augusztus 24., 2023 ● Szántó Eszter
Ezek a jelek arra utalnak, hogy rossz fogamzásgátlót…
Szántó Eszter

Egy több mint húsz éven át tartó, világszerte közel 1000 résztvevőt érintő vizsgálat fontos eredményre jutott: azok az emberek, akik olyan betegségben szenvednek, amely miatt nagyobb az esélyük bizonyos rákos megbetegedések kialakulására, több mint 60 százalékkal csökkenthetik egyes rákos…

Ritka, tiszta rózsaszínű gyémántot tártak fel Angolában, amely a feltételezések szerint a legnagyobb, amelyet 300 éve találtak.

A nyári melegben nehéz felvenni a napok ritmusát és megfelelő energiaszinttel belevágni a teendőkbe. Alábbi cikkünkben olyan egyszerű, mégis hatásos praktikákat írtunk össze, melyek megadhatják a kellő lendületet a kánikulában is.
augusztus 24., 2023 ● Prokaj Tamás
6 tipp, hogyan pörgesd fel az energiaszinted a legnagyobb…
Prokaj Tamás

Egy periódus hossza személyenként és ciklusonként változik. De mikor kell valóban aggódnunk a menstruációnk hosszán?

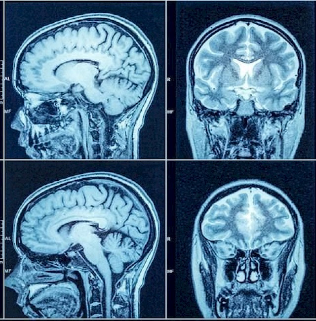
Egy 2006-os kutatás egy bizonyos Aβ*56 nevű fehérje hatását nevezte meg az Alzheimer-kór egy fő okaként, így annak a korai kezelése jelentősen csökkentheti a leépülés kockázatát. Idén viszont az a szóbeszéd indult el, hogy a tanulmány szerzője képmanipulációval tette igazzá az eredményeit.
augusztus 24., 2023 ● Prokaj Tamás
Az Alzheimer-kór okáról szóló elméletet hamisították?
Prokaj Tamás

A legtöbb tizenéves későn fekszik le, hiszen náluk egy kicsit eltolódik a fáradtság érzése. Ez egy egészséges folyamat, így csupán azt teszik, ami a testüknek jó. A szülők és az intézmények természetesen tehetnek pár dolgot azért, hogy egészségesebbek legyenek a fiatalok ebben a korban is.

Korábbi cikkünkben már beszámoltunk róla, hogy egy új kutatás eredményeként a tudósok azt feltételezik, hogy a depresszió kialakulásának kockázatáért elsősorban nem a boldogsághormon hiánya a felelős. De ha nem az, akkor mégis mi?

A napsugárzás több szempontból is befolyásolja az emberi szervezet működését, viszont ezalatt nem csak a bőr barnulását és a fokozott izzadást kell érteni. Egy kutatás szerint a nyári napfény akár a diétát is nehezítheti, ugyanis nagyobb étvágyérzetet eredményez.
augusztus 24., 2023 ● Prokaj Tamás
A túl sok napozás hazavághatja a fogyókúrád — ezt teszi a…
Prokaj Tamás

A demenciát a legtöbb ember nem egyéb betegségekkel, hanem az életkorral köti össze. Ez érthető, hiszen a demencia a sérülések által okozott intelligenciavesztéstől eltekintve majdnem mindig idős korban, 60 év felett alakul ki. De milyen népbetegségnek lehet még köze a kialakulásához?

Az elmúlt évek egyik legforróbb nyarát éljük át és a szélsőséges hőmérsékletek túlélése mindenki számára hatalmas kihívást jelent. A következő lépések azonban segíthetnek abban, hogy lehűtsd magad, légkondicionáló használata nélkül.




